Hu Smiles in Renton
Dr. Yuchen Hu

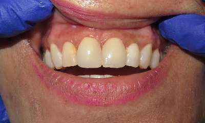
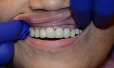
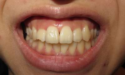
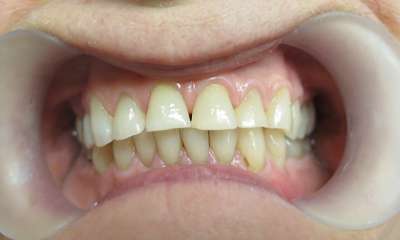
Smile Gallery

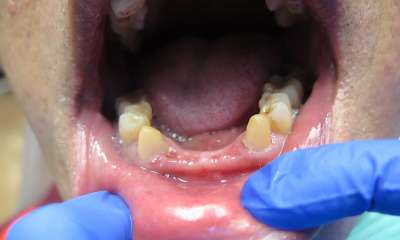
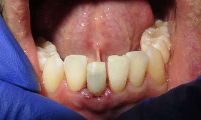
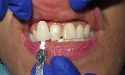
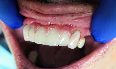
Have you ever wondered how your smile would look if you fixed those issues that have been bothering you? Check out our gallery of before and after photos of Dr. Hu's actual patients to see what's possible!

We Warmly Welcome New Patients to Our Practice
My Experience at Hu Smiles Has Been Phenomenal.

My experience at Hu Smiles has been phenomenal! I experienced a dental emergency the week I moved here from across the country and didn’t know anyone or have an established dentist. They fit me in after hours to help me get out of extreme pain. They truly care for their patients and I am so grateful for the empathy and compassion they showed in my time of need. The same level of care has continued for my regular cleanings. I strongly recommend Hu Smiles!

- Mara

If you have difficulty using our website, please email us or call us at (253) 277-8767
View the ADA Accessibility Statement
Privacy Policy