Hu Smiles in Renton
Dr. Yuchen Hu
Home
About
Our Team
Technology
Practice Photos
Services
View All
General Dentistry
Emergency Dentistry
Dental Implants
Crowns and Bridges
Invisalign® Clear Aligners
Root Canal Treatment
Porcelain Veneers
All-on-4® Implants
Full Mouth Reconstruction
Full Smile Makeovers
Smile Gallery
View All
Crowns and Bridges
Dental Implants
Porcelain Veneers
Patient Info
View Patient Info
Testimonials
Financial
FAQs
Blog
Contact
Hu Smiles in Renton
Dr. Yuchen Hu
Book Online
Like us on Facebook
Visit us on Yelp
Leave a Google Review
Instagram
(253) 277-8767
Hu Smiles in Renton
Hu Smiles in Renton
>
Smile Gallery
>
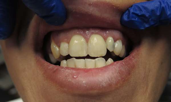
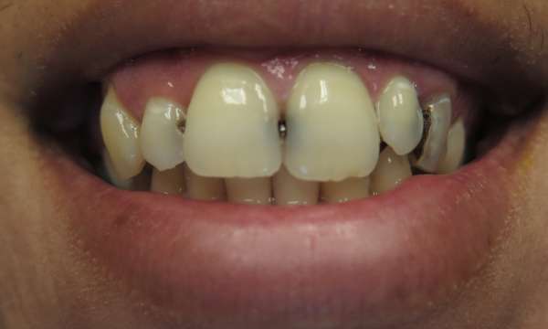
Front Fillings
Front Fillings
Return to Smile Gallery
Previous
Next
Click image to see a larger picture
Before
After
Not finding what you need?
Contact Us
If you have difficulty using our website, please
email us
or call us at
(253) 277-8767
View the
ADA Accessibility Statement
Turn on ADA Views
Privacy Policy
OK!
×
×
Contact Us Today
Give Us A Call
Hu Smiles in Renton -
(253) 277-8767
Send Us an Email
Book Online
Contact Us
Ready to Schedule an Appointment?
Book Online
Have Questions? Contact Us:
Required Field
Your Name:
Phone:
Email:
Are you a new patient?:
Are you a?
New Patient
Current Patient
How would you like us to contact you?
Please choose
Email
Call
How did you hear about us?
Please choose
I'm an existing patient
Google/Bing
Mailer
Word of mouth
Social media
Other
Who Referred You?:
Appointment Preferences
Monday
Tuesday
Friday
Saturday
Your Message
:
This site is protected by reCAPTCHA and the Google
Privacy Policy
and
Terms of Service
apply.
Sending...
×
This Patient's Experience
Loading Testimonial...
Loading Case...